Terza Classe Dento-Scheletrica
Paziente di sesso maschile con morso inverso severo, trattato con approccio combinato ortodontico-chirurgico.
Obiettivo: ripristino dell’equilibrio estetico-funzionale.
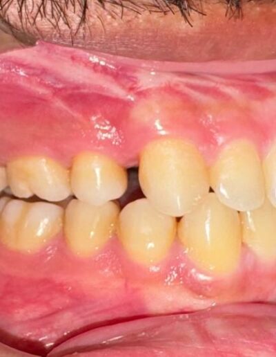
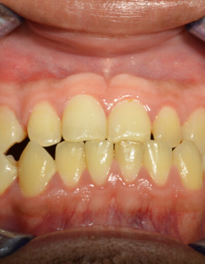
Prima
Il paziente, di 27 anni, si presenta alla mia osservazione già in trattamento ortodontico, a causa di un evidente morso inverso, manifestazione tipica di una terza classe dento-scheletrica.
In collaborazione con il Dott. Laganà e l’ortodontista Di Benedetti, è stato effettuato un attento studio del caso. Si è deciso di completare la fase di decompensazione ortodontica, spiegando al paziente che in questa fase avrebbe assistito ad una temporanea accentuazione del difetto estetico e funzionale, necessaria per garantire il successo della fase chirurgica.
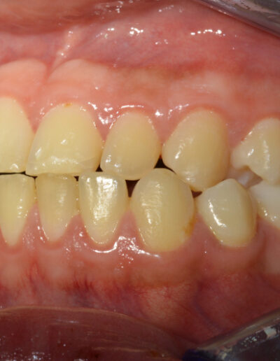
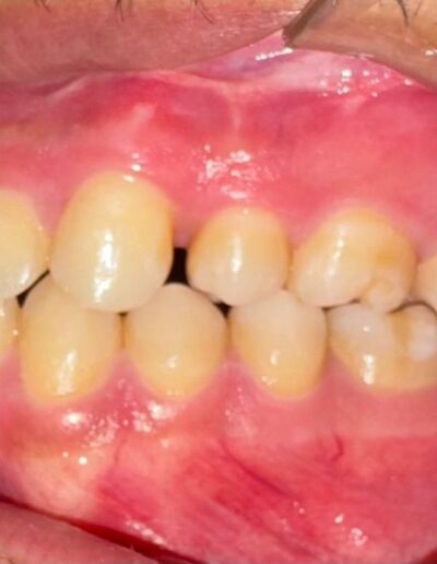
Dopo
Nel 2023 il paziente è stato sottoposto a un intervento chirurgico di avanzamento del mascellare superiore. Lo spostamento delle strutture ossee è stato pianificato virtualmente in fase preoperatoria, utilizzando intraoperativamente un dispositivo di guida (spint/bite) realizzato su misura.
Il decorso post-operatorio è stato regolare: nessuna cicatrice visibile, assenza di deficit della sensibilità e un rapido ritorno alla vita sociale. Il risultato ha avuto un impatto significativo anche dal punto di vista psicologico: il paziente ha ritrovato sicurezza e benessere, grazie al miglioramento dell’armonia estetica e funzionale del volto.
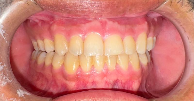
Il trattamento combinato ortodontico-chirurgico ha permesso di correggere in modo efficace la terza classe dento-scheletrica del paziente, con un risultato stabile e armonico sia dal punto di vista funzionale che estetico. L’intervento di avanzamento mascellare, pianificato virtualmente e realizzato senza cicatrici visibili né complicanze sensoriali, ha restituito al paziente un’adeguata occlusione, una maggiore simmetria del profilo facciale e un importante miglioramento della qualità di vita.
Oltre al successo clinico, l’aspetto psicologico ha avuto un ruolo centrale: il paziente ha ritrovato fiducia in sé stesso, superando il disagio sociale legato all’aspetto del viso prima del trattamento.
Questo caso conferma l’efficacia di un approccio multidisciplinare e personalizzato nel trattamento delle dismorfosi facciali complesse.
