alessia.spinzia@gmail.com

Reverse Lifting 

Una paziente di 37 anni si è rivolta alla nostra osservazione con la richiesta di migliorare l’aspetto estetico del volto e del sorriso.
L’intervento è stato eseguito in collaborazione con  il Dott. Laganà e il Dott.Barreca.

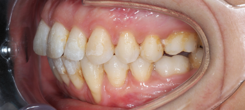
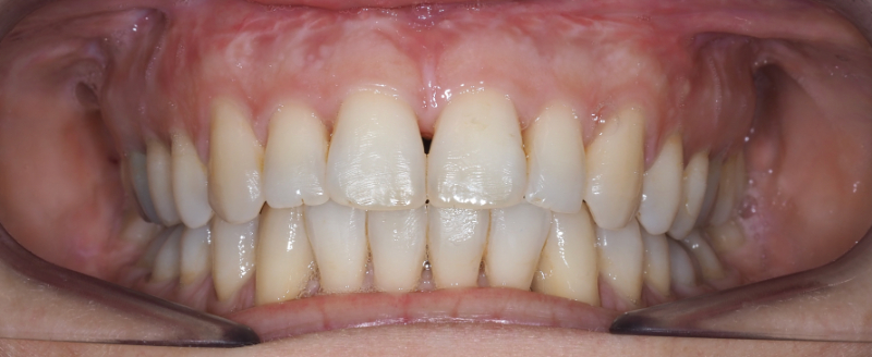
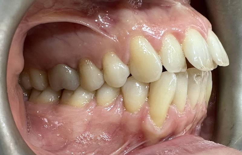
Prima

Durante la visita clinica si riscontrava un’evidente accentuazione delle pieghe cutanee naso-geniene e labio-mentali, accompagnata da una riduzione della larghezza del labbro superiore. A livello intraorale, l’esame metteva in luce un palato notevolmente ristretto e un disallineamento dentale.

L’analisi radiografica laterale, integrata da misurazioni specifiche, ha rivelato un
arretramento sia del mascellare superiore sia della mandibola. Questa condizione
scheletrica determinava una carenza di supporto per i tessuti molli, contribuendo in modo significativo alla formazione precoce delle piehe (erroneamente definite rughe dalla paziente) cutanee e a un generale invecchiamento dell’estetica facciale.

Alla luce di queste evidenze, si è esclusa l’opzione di un lifting facciale tradizionale, il quale, agendo unicamente sulla trazione della cute, avrebbe potuto peggiorare l’aspetto del volto.

Si è invece proposta una strategia chirurgica alternativa, basata su un principio di “reverse lifting”, mirato a ripristinare i volumi scheletrici attraverso un lieve avanzamento del mascellare e della mandibola, in modo da ottenere una distensione naturale e definitiva dei tessuti cutanei.

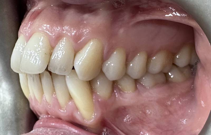
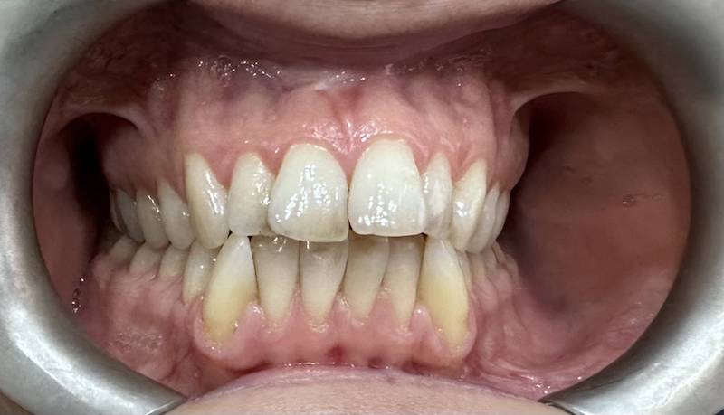
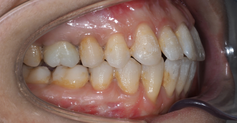
Dopo

Nel mese di ottobre 2023 la paziente è stata sottoposta a un primo intervento di
espansione palatale, con l’obiettivo di ripristinare la corretta ampiezza trasversale del mascellare.

Questo primo passo ha avuto come effetto diretto anche il recupero della
normale ampiezza delle labbra. In una seconda fase, si è proceduto con l’avanzamento osteoscheletrico, pianificato nei minimi dettagli attraverso un virtual planning.

Questo ha consentito di programmare con precisione millimetrica lo spostamento del mascellare e della mandibola, ottenendo una nuova armonia strutturale e funzionale del volto.

L’esito dell’intervento è stato estremamente positivo, sia dal punto di vista estetico che
funzionale. Il volto della paziente ha mostrato un evidente ringiovanimento, ottenuto in
modo naturale, senza alcuna presenza di cicatrici esterne.

Le pieghe cutanee precedentemente evidenziate sono scomparse, grazie al recupero del supporto osseo sottostante. Anche il sorriso ha beneficiato di un netto miglioramento, reso possibile dall’espansione palatale e dalla nuova disposizione dentale.

Nel complesso, il risultato ha restituito alla paziente un volto più armonioso, fresco e proporzionato, con un effetto stabile e privo degli artifici tipici di un lifting tradizionale.

Apri la Chat
Hai Bisogno di Maggiori Informazioni?
Sono la Dott.ssa Alessia Spinzia,
come posso aiutarti?