Terza Classe Dento-Scheletrica
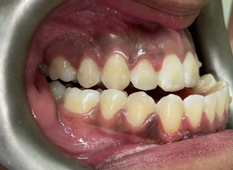
Paziente di sesso femminile con morso inverso.
Obiettivo: ripristino dell’equilibrio estetico-funzionale.
Prima
Dopo un’attenta valutazione del caso condotta in collaborazione con il Dott. Laganà, si è proceduto con la pianificazione della terapia chirurgica mediante virtual planning pre-operatorio. Tale approccio ci ha consentito una precisa valutazione tridimensionale e la simulazione degli spostamenti scheletrici necessari.
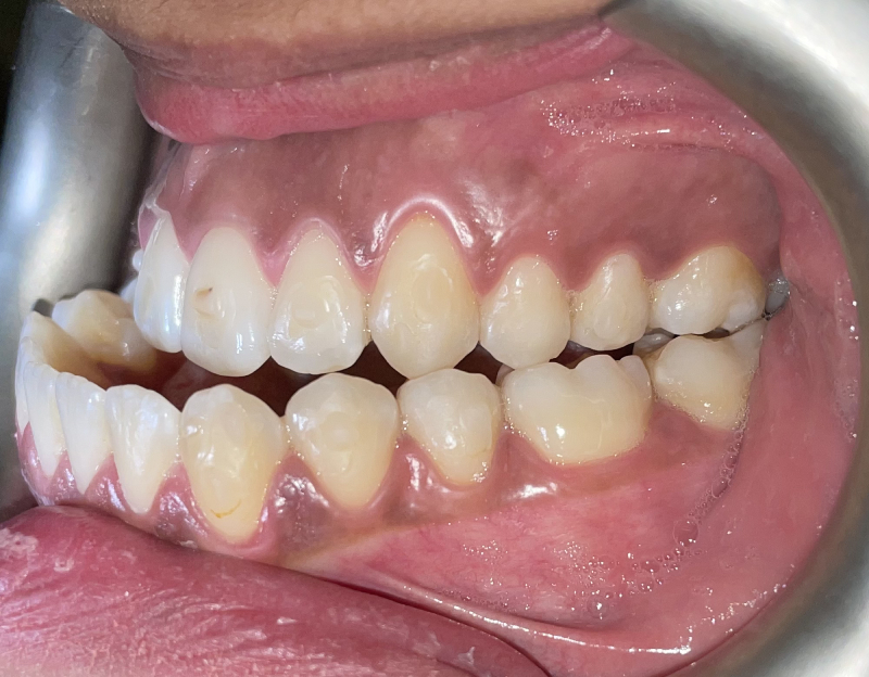
Dopo
Il decorso post-operatorio è stato regolare. La paziente non presenta esiti cicatriziali visibili né deficit della sensibilità. Ha progressivamente ripreso la sua routine quotidiana, beneficiando di un netto miglioramento sia funzionale che estetico.
Il trattamento combinato ortodontico-chirurgico ha portato a un risultato clinico ed estetico soddisfacente, risolvendo il quadro di terza classe scheletrica e migliorando significativamente la funzione masticatoria.
Sul piano psicologico, la paziente ha riferito una marcata riduzione del disagio legato alla percezione del proprio aspetto, che in precedenza comprometteva le sue relazioni sociali. Questo caso conferma l’efficacia dell’approccio multidisciplinare e della pianificazione virtuale nel trattamento delle dismorfosi facciali complesse.
